Medix logo
ДЕНТАЛНА РЕНТГЕНОВА ЛАБОРАТОРИЯ

Защо да си направя зъбни снимки в Медикс?

Независмо дали правим панорамна снимка на зъби, 3D скенер на зъби или обикновена зъбна снимка в Медикс се стремим да постигнем оптимално добро позициониране и резолюция на изображението, защото знаем, че от качеството на зъбните снимки зависи правилната диагностика и успешното лечение.
  • Зъбни снимки с изключителна резолюция

    Нашите дигитални панорамни зъбни снимки гарантират изключителна резолюция на рентгенографията и леснота при обработването й. За ендодонтско лечение, при изображенията направени с 3D скенер, размерът на воксела (най-малката триизмерна единица при СВСТ изследванията) може да бъде 75 µм, което дава възможност за визуализация на най-микроскопичните анатомични детайли. За сравнение, дебелината на човешкия косъм варира от 60 до 250 µм.
  • Зъбни снимки с минимално облъчване

    Всеки ден сме изложени на естествената радиация от космосмическите лъчения и от геомагнитния фон на земята. За различните страни тя е различна в зависимост от географската ширина. В скандинавските страни лъчевото натоварване е почти два пъти по-високо отколкото в България. Когато ходим на плаж, облъчването е няколко пъти по-голямо от обичайното. Модерното оборудване в нашата дентална рентгенова лаборатория гарантира минимални дози на облъчване, които са сравними с естествения лъчев фон. Според изследванията на UNSCEAR (Научен комитет по изучаване на действието на атомната радиация) към ООН, облъчването на населението на България от естествения радиационен фон е 2.4 mSv годишно. За сравнение, дозата рентгенови лъчи, които се приемат при направата на четири зъбни снимки е приблизително 0,005 mSv, което е значително по-малко от естествената дневна радиация.
  • Професионална грижа за пациента

    Изградили сме екип от опитни и мотивирани специалисти. Обслужваме пациентите бързо и професионално. Направата на една панорамна снимка на зъби отнема между 3 и 5 минути. На всеки пациент се поставят защитни средства – оловна яка или оловна престилка в зависимост от вида зъбна снимка. Лаборантите подхождат с грижа, внимание и много търпение към притесненията на най-малките ни пациенти. При сложни казуси, лекарите по дентална медицина могат да разчитат на експертното мнение на проф. Хр. Михайлова.
  • Високотехнологично рентгеново оборудване за зъбни снимки

    Високото качество се постига с правилната апаратура. Затова сме инвестирали във високотехнологично рентгеново оборудване за дигитални зъбни снимки на водещия в иновациите производител – Planmeca, Финландия.
  • Простота при използването на зъбните снимки

    За да се възползвате от предимствата на нашите дигитални зъбни снимки е необходимо да имате единствено достъп до интернет от компютър или мобилен телефон.
Лого

За какво служат зъбните снимки на Медикс?

Рентгеновите снимки са основно помощно средство за лекарите по дентална медицина. Те дават възможност на стоматолога да открие проблеми, които на пръв поглед не съществуват. Кариесите, например, често се развиват в дълбочина, под повърхността на емайла и остават невидими за невъоръженото око. Още по-полезни са рентгенографиите за откриване на възпалителни процеси като пулпита (възпаление на нерва на зъба) и гранулома (възпаление на костната тъкан около корена). Проблемите могат да бъдат от най-различно естество и за тяхното идентифициране се използва набор от разнообразни зъбни снимки. Какъв точно ще е подоходът зависи от лекаря, който провежда лечението. Като цяло, зъбните снимки могат да се обединят в две големи основни групи според начина на заснемане и апартурата, с която се правят - интраорални и екстраорални. Първите са снимки, за чиято направа се използва филм, сензор или фосфорна плака, които се поставят в устата на пациента. За втората група се използва апаратура, позволяваща външно заснемане (например панорамни снимки на зъби, телерентграфии и 3D скенери).

3D скенер на зъби – сектор

3D скенер на зъби – сектор
Чрез използването на модерната CBCT технология (Cone Beam Computer Tomography) се сканира триизмерен образ на част от челюстта, обхващаща до четири зъба. Този образ може лесно да се обработва. Разглеждането на структурата в 3-те различни равнини помага за прецизната диагностика. Изследването е подходящо за диагностициране на заболявания на зъбите, при ендодонтско лечение, както и за поставяне на единични импланти и др.

3D скенер на зъби – една челюст

3D скенер на зъби – една челюст
Триизмерният образ на цяла челюст (горна или долна) позволява анализ на различни патологични състояния в челюстта като възпаления, тумори, кисти, фрактури и др. Използва се широко при поставянето на няколко импланта на едната челюст, определяне на точното положение на ретинирани зъби, както и за изработка на хирургични водачи.

3D скенер на зъби – две челюсти

3D скенер на зъби – две челюсти
Триизмерният CBCT образ на двете челюсти дава възможност за диагностициране на състоянието на цялото съзъбие. Приложението е аналогично на 3D скенера на една челюст.

Панорамна снимка на зъби (OPG)

Панорамна снимка на зъби (OPG)
Панорамната зъбна снимка (OPG) обхваща цялото съзъбие, челюстните стави и пода на синусите. С нейна помощ се откриват непоникнали (ретинирани) зъби, включително мъдреци, пародонтални проблеми, кисти, тумори, фрактури и др. Следи се развитието на зародишите и корекцията на захапката при ортодонтско лечение. Използва се както за сваляне на статуса при първоначален преглед, така и за периодичен контрол на състоянието.

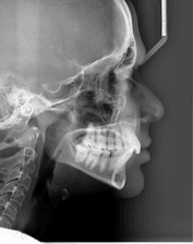
Телерентгенография (CEPH)

Телерентгенография (CEPH)
Телерентгенографията (CEPH) е профилна снимка на черепа. Обикновено се прави на деца за нуждите на ортодонтията. По нея лекарите измерват и анализират захапката, планират необходимите корекции и проследяват развитието на челюстите и зъбите.

Темпоромандибуларни стави (TMJ)

Темпоромандибуларни стави (TMJ)
Тази рентгенова снимка показва темпоромандибуларните стави, с които долната челюст е подвижно свързана с черепа. Образът дава възможност да се направи сравнение между лявата и дясната става, които са заснети в отворено и затворено положение на устата. Прави се при проблеми и нужда от лечение на дъвкателния апарат.

Снимка на синуси

Снимка на синуси
Снимката на синусите обхваща максиларните и фронтални синуси. По нея се прави оценка за състоянието както на самите синуси, така и за проблеми в тях, причинени от заболявания на зъбите.

Байтуинг (Bitewing)

Байтуинг (Bitewing)
Байтуингът е един от методите за диагностициране на кариес в междузъбните контакти едновременно на горните и долните странични зъби. С негова помощ се констатира и загуба на костно вещество при пародонтит. За направата му се използва специален държател, който улеснява позиционирането.

Секторни зъбни снимки

Зъбни снимки
Това са най-разпространените зъбни снимки. За да имат добра диагностична стойност, те трябва да обхващат целия зъб - коронката, корена и прилежащата около него кост. Така лекарите по дентална медицина могат да констатират наличието на много заболявания като кариеси, грануломи, кисти, пародонтални проблеми, както и да проследяват развитието на кореново лечение или интеграцията на поставените импланти.

Как се съхраняват дигиталните зъбни снимки и как се получава достъп до тях?

Зъбните снимки, които правим в Медикс, са дигитални. Това означава, че след като бъдат направени, пациентът получава разпечатано копие от специализиран принтер, а цифровият файл се запазва на нашите сървъри. Всеки пациент има своя лична папка, а на всеки дентален медик създаваме личен профил, чрез който получава достъп до папките на своите пациенти. Този подход дава много удобства и предимства както за лекаря, така и за пациента.
  • Зъбните снимки, независимо дали са секторни, панорамни зъбни снимки, телерентгенографии или друг вид се съхраняват на нашите сървъри неограничено дълго време.
  • Лекарите по дентална медицина имат бърз онлайн достъп до папките на техните пациенти. Дигиталните зъбни снимки се получават в реално време и до тях има неограничен достъп. Те могат да бъдат разглеждани по всяко време и от всяка точка на света.
  • Зъбните снимки са налични в няколко различни файлови формата - DICOM (DCM), PNG и JPG, което улеснява свалянето им на личните компютри.
  • Денталните медици могат с лекота да правят всички необходими обработки и измервания на дигиталните зъбни снимки, което улеснява подготовката за лечебния процес на пациента.
  • Дигиталните зъбни снимки са подредени в хронологичен ред. При влизане в досието на пациент се виждат всички негови дигитални зъбни снимки, направени във времето, което дава възможност да се проследи развитието на лечението.
  • Неограниченият достъп дава възможност на пациента да извършва допълнителни консултации, ако се налага.
Независимо дали сте пациент на лабораторията в София, Бургас или Стара Загора, за да разгледате вашите зъбни снимки, трябва да имате потребителско име и парола за достъп. Те се получават при първоначалната регистрация на пациента и не се променят при следващите снимки.